√1000以上 50 代 総 入れ歯 保険 適用 342899
総入れ歯にするタイミングについて〜残せる歯があるかどうか不安です。 (50代女性)〜 入れ歯の治療例, 総入れ歯, 若い方の入れ歯治療 歯周病があり、次々と歯を失ってしまっているケース。 特に残っている歯が数本しかない場合、「総入れ歯になるまで歯が抜けるのを待ちましょう。 」または「もう、歯を保つことができないから、抜いて代で入れ歯 30代で入れ歯 40代で入れ歯 50代以上で入れ歯 入れ歯人口2,900万人時代 失いやすい歯って、どこの歯? 自由診療の入れ歯治療と保険診療との違い 入れ歯ではなくインプラントをすすめる歯医者 材料について ④完成:試適の際に合わせた物をもとにして、総入れ歯を完成させます。 113費用 保険の自己負担割合によって変わってきますが、基本割合である3割を基準にしますと、レジンで作られた総入れ歯の場合、おおむね 1つ8000円から9000円前後 になってきます。
40代の入れ歯の割合と治療方法 こころ歯科大和クリニック 大和市柳橋 大和駅
50 代 総 入れ歯 保険 適用
50 代 総 入れ歯 保険 適用-1,リハビリ用入れ歯を使用して、型取りと噛み合わせの位置決め 2,見栄えや歯並びの状態の確認 3,完成 完成後はチェックはさせてもらいますが、ほとんど調整は必要ありません。 保険の入れ歯と自費の入れ歯保険の総入れ歯と比較して、値段だけを見ると高いように感じられるかもしれません。 一方で、以下のようなことを考慮していただくと自費の入れ歯の重要性についてもご考慮いただく一助となるかと思います。 入れ歯のメンテナンスをすることで長く使うことができる -保険の総入れ歯はこ




入れ歯 義歯 ミラクルデンチャー 仙台 河原町歯科医院
回答数 87 10代 代 30代 40代 50代 60代 70代 80代 男性 女性 A 入れ歯の作成に関しては、一度作った場合保険のルールで半年以上経過してからでないと作り直せない事になっています。 紛失した場合や、ペットに噛まれてしまった場合、事故などで割れてしまった場合などは歯科医院に相談して10割負担で作り直しになる場合が多いです。 気に入らない理由にもより その入れ歯は、保険適用内でお作りになったものでしょうか? もしそうであるなら、再び保険適用内で新しく作り直せるのは「半年後」と決められています。 このルールは、例え、ほかの歯科医院へ転院しても変わりません。 もちろん、 自費診療で新しく入れ歯をお作りになる場合は、 50代女性ナチュラルデンチャーで目立たない入れ歯を使った症例 「ブリッジが外れてしまった。 入れ歯にはまだ抵抗があるのでどうしたら良いのでしょうか」とご相談いただきました。 拝見したところ、外れてしまった部分はブリッジとしてそのまま再装着が難しく、また新たに作ることはできない状態でした。 CAD冠 (被せもの)と欠損部の補綴処置 (入れ歯)にて
一般的に入れ歯には部分入れ歯と総入れ歯があり、取り外しのできるタイプをいいます。 姿勢・バランス・消化・全身の健康のために入れ歯は必要です 入れ歯で口の機能を回復させましょう 入れ歯によって、見た目だけでなく、食事や発音など普段の生活での口の機能を、補うことができま 保険診療の総入れ歯のメリットは、費用の安さにあります。 保険が適用されることから、1~3割負担で入れ歯を製作することが可能です。 また、入れ歯が壊れた際には、修理が容易であるというメリットもあります。 適応範囲も広く、ほぼ全ての症例に対応できます。 デメリット 保険診療の総入れ歯のデメリットは、使用できる材料に制限がかかっている点です健康保険適用 健康保険で認められた材料を健康保険で認められた技術で治療した場合は一部自己負担ですべての治療がうけられます。 差額自己負担 前歯ならびに総義歯の床部分に健康保険で認められたもの以外の材料が使えます。その際は健康保険で認められたものと、その材料との差額を�
保険入れ歯から完全オーダーメイド義歯まで対応する船橋市の歯科医院 〒 千葉 歯科用プラスチックでできた保険診療で作ることができる入れ歯です。保険が適用されるため、ほかの入れ歯に比べて安価になっています。 保険治療では入れ歯に使える材料や治療期間にも制限がある保険適用の入れ歯の費用相場 保険が適用される入れ歯の場合、部分入れ歯か総入れ歯によって治療費が異なります。 部分入れ歯は、複数本の歯を失った場合に装着するもので、保険で使用できる材料はアクリルレジンと金属です。 失った本数に応じて治療費が異なりますが、相場としては5,000~14,000円程度となっています。 一方、総入れ歯は文字通り全ての歯を 総入れ歯を覚悟した50代男性 OM様 前歯が根っこごと折れてしまい、当時行かれていた歯科医院の先生の紹介で当院にいらっしゃった患者さんです。 患者さんは総入れ歯になることを覚悟して相談に来れました。 全体的な検査の結果、ほぼすべての歯が




総入れ歯になる年齢について 東京都千代田区 稲葉歯科医院 総入れ歯専門サイト




50代男性 納得のいかないまま歯を抜かれ入れ歯にしたけど食べられない しゃべれない 外れる 歯医者からは入れ歯安定剤を使うように指示されたが気持ち悪くて使いたくない 北坂戸 坂戸 の歯科 歯医者 入れ歯なら もりや歯科 へ
保険適用の義歯・入れ歯 当院では保険適用の義歯・入れ歯も製作しております。 保険適用の入れ歯は保険制度で決められた材料と作成法で製作されます。 保険適用義歯の費用 入れ歯の歯の数が少ない場合 (1割負担の方) 約2,500円 (3割負担の方) 約50歳を過ぎて左側が上下とも入れ歯になり、その時点でキャベツなど硬い野菜が噛めなくなり痛みも感じるようになりました。 同時に心の病(口腔神経症)となり、今まで10年間心の病と入れ歯の痛みに耐えながらの生活が続いています。 5年ほど前にあと10年ぐらいで総入れ歯になると言われました。 今の入れ歯は8年程前に作ったもので、保険で作りました。 現状 入れ歯 50歳・50代 入れ歯というと70歳や80歳といった年配者のものというイメージがあるかもしれません。しかし現在ではなんと50歳代の方の相談が増えてきているのです。いったいなぜ比較的若いと言える50歳の人たちが入れ



マグネット総入れ歯 フィンデンチャー 上領歯科医院




40代の人におすすめの 目立たない入れ歯はありますか 神奈川県茅ヶ崎 藤沢 平塚市の入れ歯なら岩田歯科医院へ
健康保険適用の総入れ歯はプラスチックのものしかありませんが、保険外の総入れ歯には様々なタイプのものがあります。 レジン床義歯 保険適用の入れ歯の場合、プラスティック樹脂のレジン床を使用しますが、 レジン床は治療費が安いというだけで機能性は乏しいのです。上下、保険で総入れ歯を作ってもらいまして、後で下の方(入れ歯)だけシリコーン(やわらかい入れ歯)にしてもらいました。 今まで治らなかった切り傷(口角炎)も完全に治って、食事が楽になりました。 有難うございます。 60代男性のMさん 何軒かの歯医者でお手上げと言われたんだー 費用 片顎:¥110,000/保険適用外 ロケーター 片顎 2本埋入 特徴 入れ歯を支えるための土台を形成します。 より強固で外れにくく、また咬む力も伝達しやすくなるため、不快感を軽減できます。 費用 ¥550,000/義歯代別




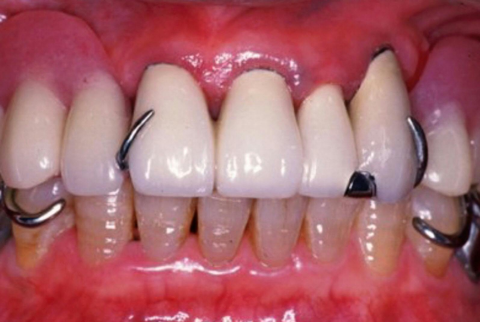
部分入れ歯のフックの針金を取りたいのですが どのような方法がありますか 東京千代田区のドイツ式入れ歯専門 稲葉歯科医院




治療例 いわき市の歯医者ならしんデンタルクリニック
正確には同じものではありませんが、このレジンだけを使って入れ歯を作っていきます。 歯科衛生士 歯の白い部分も、歯茎のピンク色の部分もレジンで作ることができます。 金額・値段 部分入れ歯・・・およそ 5000〜円 総入れ歯・・・ 〜円入れ歯の種類や値段を写真付きでご紹介します 21/3/3公開 (21/6/15更新) 今回は入れ歯 (義歯)のお話です。 入れ歯の多くは保険適用で作製しますが、それ以外にも以下のような種類があります。 シリコーン義歯 ノンクラスプ義歯 金属床義歯 マグネット入れ歯に使われている種類と素材|保険適用の入れ歯もある 入れ歯は口の中全体を覆う「総入れ歯」と、歯の一部のみを入れ歯にする「部分入れ歯」の2種類があります。同じ入れ歯でも、使われている素材によって使い心地が異なり、保険適用外(自費診療)になることもあります。 ここでは入れ歯の種類について、素材ごとに詳しく紹介しています。 入れ歯の




総入れ歯にするタイミングはいつ 歯の状態 年齢 判断の基準 インプラント広場



2
総入れ歯 健康保険で定められた材料・方法に限定。 プラスチックのため厚みが出るのと熱が伝わりにくいですが、嚙むという基本的な機能は備えています。 長年入れ歯の材料で使用されているコバルトクロム金属を使用した義歯。 丈夫で食事の温度を伝えます。 薄くて装着感に優れています。 アレルギーの少ないチタン製。 強度のある素材で薄くでき、金属Http//wwwmhlwgojp/toukei/list/dl/pdf 50代での総入れ歯率は全体の約1%前後で、この年代に多いのはブリッジ(約40%)のようです。 部分入れ歯は40代と比べると一気に約5倍にも跳ね上がり、すべての義歯装着率において、50代というのが一つのラインになっているといえるでしょう。 この結果、安心していいのやら心配していいのやら、どうとらえていいか自分で入れ歯にするタイミングは何歳から? 部分入れ歯は早い人で30代前半から 厚生労働省が実施した、「平成17年歯科疾患実態調査」によると、30~34歳の08%が、「部分入れ歯」として初めての入れ歯を装着しているようです。 「総入れ歯」は、40~44歳で04



目立たない入れ歯の症例 こうづま歯科医院 ローズ歯科医院




30代 や 40代 で歯がボロボロ 前歯 ぐらぐら の原因と治療法
( 14) 10代 代 30代 40代 50代 60代 70代 80代 男性 女性 歯科医師 A 保険適用の総入ればであれば、型取りから完成品のセットまで全ての合計費用については、保険点数の合計は4000点程度ですので、一割負担の方の場合は4000円前後、3割負担の方の場合は100円前後(上下どちらか片方の義歯)となりますが、保険から外保険の総入れ歯の費用・値段 約1万円 (上下どちらか片方のみの値段。 保険適応3割負担の場合) ※入れ歯本体の値段、診断料、型取りの費用、装着料等を全て含んだ料金です。 また、 1度保険で総入れ歯を作ると6ヶ月間の間は、保険で総入れ歯を作ることはできません。 回答日時 返信する (0) Nice!




入れ歯 保険 自費 の値段の違いとは 梅田茶屋町クローバー歯科q A




50代男性 納得のいかないまま歯を抜かれ入れ歯にしたけど食べられない しゃべれない 外れる 歯医者からは入れ歯安定剤を使うように指示されたが気持ち悪くて使いたくない 北坂戸 坂戸 の歯科 歯医者 入れ歯なら もりや歯科 へ
入れ歯にかかる費用は、保険適用される場合と保険適用外では大きく変わってきます。 保険で入れ歯を作製される場合、総入れ歯の場合は1床につき 約1万円 。 部分入れ歯の場合は補う歯の本数により費用が違いますが、 約5000円〜1万3000円 で作製する事が出来ます。 保険の入れ歯は自費のものよりも安価に作製する事が出来ますが、使用出来る材料や作製方法が 保険適用した入れ歯 値段の例 という事で、では実際に一回具体的に値段を算定してみましょう。 人工歯2本、クラスプ2本の部分入れ歯(部分床義歯)です。 人工歯→小臼歯1本、大臼歯1本 計2本硬質レジン歯 クラスプ→ニッケルクロム合金、エーカースクラスプ、二腕鉤(レスト付



2




入れ歯っていくらかかるの 保険と自費の違いや料金相場を解説 北戸田coco歯科インプラント専門サイト




ドイツ式入れ歯 目黒歯科医院 入れ歯とインプラントの裏話




総入れ歯 総義歯 の費用 保険 保険外の種類と利点 欠点




保険適用 保険適用外になる入れ歯の違いと費用 神奈川県茅ヶ崎 藤沢 平塚市の入れ歯なら岩田歯科医院へ




入れ歯専門医 名医 による 高精度入れ歯 義歯 神田駅1分の歯医者




21年6月 栃木県佐野市のインプラント 総入れ歯 部分入れ歯なら目黒歯科医院




義歯 入れ歯 歯科一般 虫歯治療 岡山のインプラント治療ならアイデンタルクリニック Idc




保険適用内の入れ歯 部分入れ歯 治療 入れ歯でお悩みの方へ入歯 義歯専用症例紹介サイト




入れ歯の値段相場は 保険 保険外の入れ歯の種類 ハイライフグループ



40代の入れ歯の割合と治療方法 こころ歯科大和クリニック 大和市柳橋 大和駅



Q Tbn And9gcrxxxa 2cavf9xnlnqgwrapuu Xxkhoydxk8q7exw2ecsg0rl Usqp Cau



入れ歯




オーダーメイド入れ歯の症例 秋津歯科 矯正歯科 秋津の歯医者




入れ歯の型取りで嘔吐 おうと 反射がある方へ 東京千代田区のドイツ式入れ歯専門 稲葉歯科医院




自分の歯と一緒と思える総入れ歯 30歳女性 治療から1ヶ月を迎えて 東京都千代田区 稲葉歯科医院 総入れ歯専門サイト




オールオン4 入れ歯 歯がボロボロの方におすすめな全部の歯をインプラントにする治療




No 40 見た目が自然な入れ歯でした 50代 女性 入れ歯 義歯のお悩み相談ができる歯科医院 千葉県船橋市




目立ちにくい入れ歯 スーパーデンチャー 小林歯科クリニック 大阪府 吹田市 豊中市 江坂駅




浜松市見た目もきれいで良く噛める入れ歯 入れ歯でお悩みの方へ入歯 義歯専用症例紹介サイト




No 43 しゃべりやすい入れ歯になりました 全然違います 50代 男性 入れ歯 義歯のお悩み相談ができる歯科医院 千葉県船橋市



目立たない入れ歯の症例 こうづま歯科医院 ローズ歯科医院




目立ちにくい部分入れ歯 総入れ歯 駿河台 デンタルオフィス 神保町駅から徒歩3分 御茶ノ水駅から徒歩5分の歯医者 歯科医院 女医が在籍




総入れ歯 総義歯 の費用 保険 保険外の種類と利点 欠点




総入れ歯にするタイミングについて 残せる歯があるかどうか不安です 50代女性 東京千代田区のドイツ式入れ歯専門 稲葉歯科医院




入れ歯の治療費用 安い低価格な部分入れ歯 総入れ歯 東京池袋の入れ歯歯科




入れ歯 義歯 ミラクルデンチャー 仙台 河原町歯科医院




16 5万円 税込 若い人にも人気 の目立ちにくい入れ歯 義歯 本郷歯科クリニック さいたま市 東宮原駅近く の歯医者




入れ歯治療 調布市の歯科 歯医者ならあきら歯科 柴崎駅改札正面




総入れ歯にすると見た目での変化はあるのですか 東京都千代田区 稲葉歯科医院 総入れ歯専門サイト




ドイツ式入れ歯 目黒歯科医院 入れ歯とインプラントの裏話




40代の人におすすめの 目立たない入れ歯はありますか 神奈川県茅ヶ崎 藤沢 平塚市の入れ歯なら岩田歯科医院へ




総入れ歯 総義歯 の費用 保険 保険外の種類と利点 欠点



目立たない入れ歯の症例 こうづま歯科医院 ローズ歯科医院



50 代 部分入れ歯 目立たない 保険 Hoken Nays




総入れ歯にするタイミングについて 残せる歯があるかどうか不安です 50代女性 東京千代田区のドイツ式入れ歯専門 稲葉歯科医院




入れ歯つくるなら保険診療の入れ歯してから作り替えるのが Newsポストセブン Goo ニュース




50代 女性 総義歯 総入れ歯 治療 入れ歯 治療実績多数 上川歯科医院




入れ歯 義歯 について 渋谷宮益坂歯科 渋谷駅1分 土日も診療の歯医者




治療費 保証 ミラクルデンチャー ウェルデンツデンチャー よしはら歯科クリニック




福山市で入れ歯は 多くの入れ歯治療に対応している寺島歯科医院にお任せください




初めての入れ歯 装着後5週間の様子 東京都千代田区 稲葉歯科医院 総入れ歯専門サイト




こんなにあるの 総入れ歯の種類や特徴 費用 入れ歯 歯周病治療の歯科なら 町田ni歯科




50代入れ歯って早い 50代の入れ歯率はどのくらいなのか シャイニア



1




ドイツ式入れ歯 目黒歯科医院 入れ歯とインプラントの裏話




目立たない部分入れ歯を希望しています 東京千代田区のドイツ式入れ歯専門 稲葉歯科医院




入れ歯でも口を健康に 歯の数少ないと高い介護リスク Nikkei Style




金森歯科本院 当日持ち帰りできます 入れ歯作成 修理 即日対応可 一日でつくる入れ歯 即日入れ歯




浜松市見た目もきれいで良く噛める入れ歯 入れ歯でお悩みの方へ入歯 義歯専用症例紹介サイト



3




入れ歯 ハイライフグループ




こだわりの保険治療 目黒歯科医院 入れ歯とインプラントの裏話




目立ちにくい部分入れ歯 総入れ歯 K S歯科クリニック 田町駅 三田駅から5分




総入れ歯 部分入れ歯の症例 50代の男性 藤沢の歯医者 井上歯科医院




総入れ歯の費用は保険診療だといくらか 千葉市中央区の歯医者 Youtube



入れ歯の種類 料金表 柏 松戸 精密入れ歯 義歯 相談室




総入れ歯 総義歯 の費用 保険 保険外の種類と利点 欠点




料金表 公式 西大津歯科医院 滋賀県大津市のjr大津京駅から徒歩1分




入れ歯 公式 梅田歯科 北梅田ロワイヤルおとなこども歯科矯正歯科 北梅田インプラントオフィス



1




入れ歯か インプラントか 渋谷歯科 平日夜9時 土日も診療の渋谷の歯医者



シリコーン義歯 やわらかい入れ歯 大田区 大森 大森駅前 歯医者さん 内田歯科医院 西口出てスグの歯科医院




ドイツ式入れ歯 目黒歯科医院 入れ歯とインプラントの裏話




ミラクルデンチャー ウェルデンツ ノンクラスプデンチャー 入れ歯 義歯のお悩み相談ができる歯科医院 千葉県船橋市




目立ちにくい入れ歯 スーパーデンチャー 小林歯科クリニック 大阪府 吹田市 豊中市 江坂駅




歯周病で歯が抜けた場所にインプラントはできますか 総入れ歯になることに抵抗があります 東京都千代田区 稲葉歯科医院 総入れ歯専門サイト



目立たない入れ歯の症例 こうづま歯科医院 ローズ歯科医院




部分入れ歯のフックの針金を取りたいのですが どのような方法がありますか 東京千代田区のドイツ式入れ歯専門 稲葉歯科医院




入れ歯 義歯 について 渋谷宮益坂歯科 渋谷駅1分 土日も診療の歯医者



40代の人におすすめの 目立たない入れ歯はありますか 神奈川県茅ヶ崎 藤沢 平塚市の入れ歯なら岩田歯科医院へ




総入れ歯 総義歯 の費用 保険 保険外の種類と利点 欠点




30代 40代で入れ歯になってしまう 原因と対応策 補綴学会認定専門医が監修する情報サイト 入れ歯ナビ




入れ歯 インプラント ブリッジ 1本歯が抜けた時の選択肢徹底比較 ハイライフグループ




目立ちにくい入れ歯 スーパーデンチャー 小林歯科クリニック 大阪府 吹田市 豊中市 江坂駅




入れ歯の治療費用 安い低価格な部分入れ歯 総入れ歯 東京池袋の入れ歯歯科




総入れ歯 部分入れ歯の症例 50代の男性 藤沢の歯医者 井上歯科医院




入れ歯の治療年齢は 利用している年齢別人口やさまざまな種類を紹介 歯のアンテナ




総入れ歯 総義歯 の費用 保険 保険外の種類と利点 欠点



お知らせ 東大阪 石切駅前 徒歩1分 Newスタイル鈴木歯科医院 072 980 4000 親知らずを静脈麻酔鎮静法で楽々寝ながら抜歯 オールセラミック 35 000 80 000 再生治療付きインプラント年間100症例 目立たない保険の入れ歯 ページ 22



シリコーン義歯 やわらかい入れ歯 大田区 大森 大森駅前 歯医者さん 内田歯科医院 西口出てスグの歯科医院




金森歯科本院 当日持ち帰りできます 入れ歯作成 修理 即日対応可 一日でつくる入れ歯 即日入れ歯



入れ歯に関する実際の相談例




入れ歯っていくらかかるの 保険と自費の違いや料金相場を解説 北戸田coco歯科インプラント専門サイト




重度歯周病から総入れ歯へ 30代女性 東京都千代田区 稲葉歯科医院 総入れ歯専門サイト




保険 自費入れ歯の費用と対象となる医療費控除の詳しい説明 ハイライフグループ




入れ歯 義歯 京都の歯医者 なかい歯科




ドイツ式入れ歯 目黒歯科医院 入れ歯とインプラントの裏話



入れ歯 保険と自費のどこがどう違う 世田谷区駒沢 桜新町の歯科医院なら まつした歯科 入れ歯 義歯 インプラント




保険適用内の入れ歯 部分入れ歯 治療 入れ歯でお悩みの方へ入歯 義歯専用症例紹介サイト




総入れ歯 部分入れ歯の症例 50代の男性 藤沢の歯医者 井上歯科医院




自分の歯と一緒と思える総入れ歯 30歳女性 治療から1ヶ月を迎えて 東京都千代田区 稲葉歯科医院 総入れ歯専門サイト
コメント
コメントを投稿